Postat 21 ianuarie 2026
A doua sansa pentru pisicuta Sasha!
Persoana fizica
Descriere
A doua șansă pentru o Sasha!
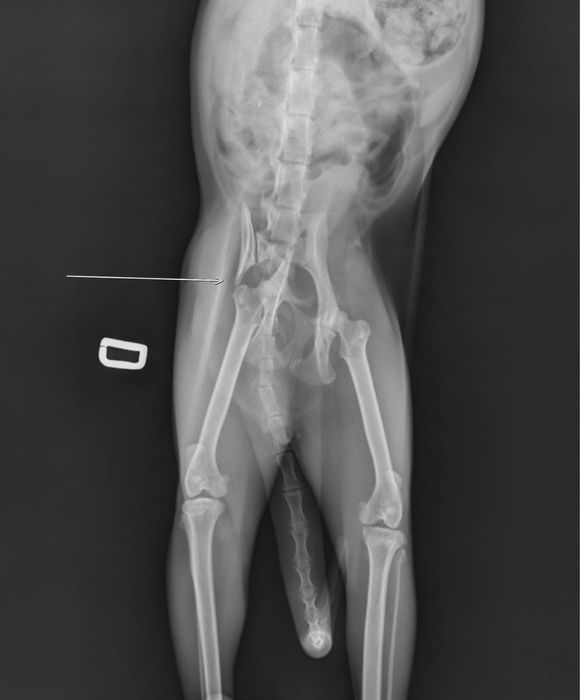
Sasha este o pisică de 6 ani, extrem de iubitoare, care a supraviețuit unui accident grav. A avut bazinul rupt, dar datorită unor oameni inimoși a fost operată, iar acum se recuperează frumos și începe să se miște din nou.
Locuiește temporar în biroul salvatorilor ei, însă are nevoie urgentă de un cămin adevărat pentru a se vindeca complet.
De ce are nevoie:
* Casă cu curte: a fost obișnuită toată viața afară, in timpul recuperării are nevoie de caldura, dar nu stim cum s-ar adapta la viața de apartament
* Îngrijire: Încă urmează un tratament, deci are nevoie de un om responsabil care să o supravegheze.
* Iubire: Este foarte atașată de oameni și este extrem de recunoscătoare.
Dacă vrei să îi oferi liniștea pe care o merită după acest accident, te rugăm să ne contactezi!
Zona Jilava, Ilfov sau poate sa fie transportata oriunde in Bucuresti
Contact: 07******54 - Daria
Sasha este o pisică de 6 ani, extrem de iubitoare, care a supraviețuit unui accident grav. A avut bazinul rupt, dar datorită unor oameni inimoși a fost operată, iar acum se recuperează frumos și începe să se miște din nou.
Locuiește temporar în biroul salvatorilor ei, însă are nevoie urgentă de un cămin adevărat pentru a se vindeca complet.
De ce are nevoie:
* Casă cu curte: a fost obișnuită toată viața afară, in timpul recuperării are nevoie de caldura, dar nu stim cum s-ar adapta la viața de apartament
* Îngrijire: Încă urmează un tratament, deci are nevoie de un om responsabil care să o supravegheze.
* Iubire: Este foarte atașată de oameni și este extrem de recunoscătoare.
Dacă vrei să îi oferi liniștea pe care o merită după acest accident, te rugăm să ne contactezi!
Zona Jilava, Ilfov sau poate sa fie transportata oriunde in Bucuresti
Contact: 07******54 - Daria
ID: 298385888
Contactează vânzătorul
xxx xxx xxx